Cirugía Oral

En clínica Biosur contamos con el servicio de Cirugía Oral, especialidad a cargo del Dr. Andrés Faúndez Terán, el cual entrega confianza, seguridad y profesionalismo, brindando el mejor servicio posible a sus pacientes.
¿Qué es la Cirugía Oral?
Es un área quirúrgica la cual se encarga de diagnóstico y tratamiento de enfermedades, lesiones, defectos y anomalías que afectan la boca.
Algunos tratamientos realizados en Clínica Biosur de cirugía oral, incluyen la extracción de terceros molares (muelas del juicio), extracción de dientes ectópicos, diagnóstico y tratamiento de quistes o tumores de los maxilares, frenectomías linguales o labiales, cirugía preprotésica, biopsias, entre otros.

¿Cuándo consultar por Cirugía Oral?
Cuando se presenta alguno de estos síntomas:

Dolor en los maxilares o al masticar

Aparición de lesiones sospechosas en la cavidad bucal o labios

Inflamación en la boca, cara o cuello, dolorosa o no dolorosa

Presencia de dientes en mala posición
TRATAMIENTOS DE CIRUGÍA ORAL
Los principales procedimientos que brinda clínica Biosur en el área de la Cirugía Oral son:

Extracción De Terceros Molares (Muelas Del Juicio):
Consiste en la extracción de las muelas del juicio en casos como:
- Dolor, infección o inflamación repetidas veces en zonas posteriores de los maxilares
- Indicación antes, durante o después del tratamiento de ortodoncia (frenillos)
- Daño a los dientes vecinos por parte de la muela del juicio
- Mala posición de la muela del juicio
- Generación de enfermedad de las encías por parte de la muela del juicio



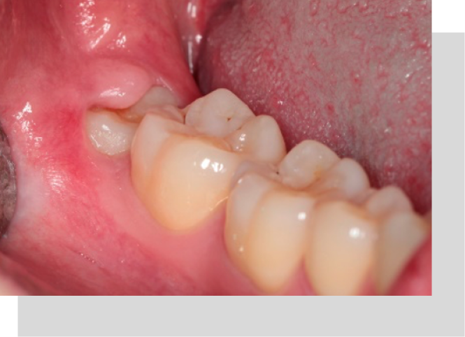
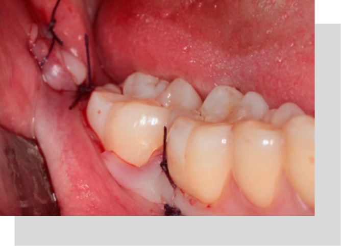
Extracción De Dientes Complejos, Ectópicos O En Mala Posición
Es la extracción de dientes en mala posición, o que se encuentran en los maxilares pudiendo causar dolor, quistes, entre otras condiciones.



Tratamiento De Quistes O Tumores De Los Maxilares
Se evaluará caso a caso, si el paciente tiene alguna inflamación que no disminuye con el tiempo, dolorosa o no dolorosa, tiene algún tipo de secreción de líquido o alguna otra sustancia, debes consultar.
Biopsias
Se realizan biopsias ante lesiones orales sospechosas que duren mas de 15 días, o que tengan algún aspecto anormal, procedimiento en donde se toma una pequeña muestra para estudio de las lesiones.


Frenectomías
Es la cirugía de los frenillos de la cavidad bucal, puede ser en los labios, lengua o encía lateral. Debe ser realizada por un cirujano en un pabellón de cirugía menor.


Cirugía Preprotésica
Es toda aquella cirugía que sea necesaria previa a utilizar una prótesis fija o removible, que puede incluir cirugía de exceso de encía (épulis), regularización del hueso de los maxilares, entre otros procedimientos que son necesarios para un buen ajuste y resultado de la prótesis final del paciente
¿Por qué elegirnos?
Profesionalismo, calidad de atención, excelencia de los tratamientos

¡Hola! Soy el Dr. Andrés Faúndez Terán, residente de la especialidad de Cirugía Oral y Maxilofacial (C)
El Dr. Andrés Faúndez se dedica a la Cirugía Bucal y Maxilofacial, y cuenta con formación en manejo avanzado de tejidos blandos de cabeza y cuello, además de experiencia en microcirugía y cursos cadavéricos. Ha sido expositor de múltiples trabajos en congresos nacionales, y es miembro actual de la AO Foundation CMF. Su foco de atención siempre está dedicado a brindarle la máxima calidad de atención a sus pacientes, con cercanía y profesionalismo
Preguntas frecuentes
En general el proceso consta de una consulta inicial, en donde se realiza una historia detallada y examen clínico del paciente, se pueden indicar exámenes en caso de ser necesario, se le explica de forma clara todo el procedimiento a realizar al paciente, y posteriormente se programa la cirugía
Las cirugías con realizadas en su mayoría en un pabellón de cirugía menor, y se utilizará anestesia local, igual a la que utiliza el dentista cuando te realizas un tratamiento dental
Los exámenes pueden ser muy variados, generalmente es alguna radiografía o scanner, o algunos exámenes de sangre de laboratorio para estudiar alguna condición del paciente previo a una evaluación inicial
En general el postoperatorio genera molestias y algunas veces dolor leve, siempre de indican medicamentos para el mejor control del dolor posible, y así los pacientes se sientan mas cómodos y confortables en su recuperación
Si, existe la posibilidad de que además de la anestesia local, puedas realizarte la cirugía bajo sedación con óxido nitroso, la cual es una muy buena alternativa para estos casos
Si. Siempre están contemplados controles posteriores a la cirugía para que el especialista evalúe la evolución del paciente después del procedimiento
Reserva Tu Cita de Cirugía Oral
No dejes a la deriva tu salud bucodental ni tu salud a nivel sistémico y agenda tu cita dental de urgencia ahora en BiosurDental.