Recupera la Salud de tus Encías con especialistas
¿Qué es la periodoncia y por qué es importante?
La Periodoncia se encarga del tratamiento de las enfermedades que afectan la salud de los tejidos de soporte (hueso) y protección (encías) de nuestros dientes. Su principal importancia radica en la prevención de pérdidas dentarias y aparte esta asociada a enfermedades sistémicas que poseen los pacientes (Diabetes y tabaquismo)

Tratamientos de Periodoncia

Limpieza dental
La limpieza dental es un procedimiento que consiste en eliminar sarro y manchas de los dientes, indicado para todo tipo de pacientes, tanto pediátricos como adultos. Debe ser realizado cada cierto tiempo para lograr una adecuada salud oral, prevenir caries y enfermedades de las encías como Gingivitis y Periodontitis.
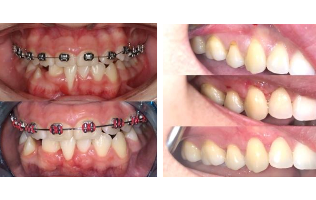
Terapia para Periodontitis
(procedimiento conocido como pulidos radiculares)
El pulido radicular es un procedimiento dental que se realiza para tratar y prevenir la periodontitis. Consiste en eliminar la placa bacteriana y el sarro de las superficies de los dientes y el interior de las encías.

Este procedimiento se realiza en varias etapas:
- Análisis de la placa bacteriana
- Aplicación de anestesia local
- Raspado de las superficies de los dientes y el interior de las encías con curetas
- Pulido de las superficies de los dientes
- El pulido radicular se realiza por grupos o sextantes, según lo indique el Periodoncista.
Después del pulido radicular, es posible que las encías presenten cierta sensibilidad durante unos días.
Los principales efectos adversos son:
- Sensibilidad de las piezas tratadas
- Sangrado de las encías, en casos muy aislados
- Molestias o dolor leve al cesar el efecto de la anestesia

Cirugía plástica periodontal
(Gingivectomía o recorte de encías para mejorar estética).
Una gingivectomía es un procedimiento quirúrgico que consiste en eliminar parte del tejido gingival (encías) que rodea los dientes. Se puede realizar por razones estéticas o médicas.
La gingivectomía puede servir para:
- Reducir la cantidad de encía que se ve al sonreír
- Tratar la inflamación de las encías
- Eliminar o reducir las bolsas periodontales
La gingivectomía se realiza en una clínica dental bajo anestesia local, por lo que el paciente no siente dolor durante el procedimiento. Después de la cirugía, el área tratada puede estar un poco sensible, por lo que el especialista puede recetar analgésicos o recomendar aplicar frío local.
La encía se recupera por completo en aproximadamente dos meses, aunque esto depende de cada paciente.
Cirugía de injerto de encías
(en casos de retracción de encías)
El injerto de encía consiste en extraer tejido de una zona blanda para cubrir una raíz dental que ha quedado expuesta o también para revestir un implante dental descubierto.

Gracias a esta intervención, también llamada cirugía plástica periodontal, se evitan los posibles problemas futuros derivados de la retracción de las encías.
El profesional encargado de llevar a cabo la operación es el periodoncista, el odontólogo especializado en la salud de las encías.

Frenectomías
La frenectomía labial superior es un procedimiento quirúrgico que corrige problemas estéticos y funcionales del frenillo labial superior (luego de haber terminado tratamiento de periodontitis o gingivitis)
¿Cómo funciona el Tratamiento de Periodoncia en Bio Sur Dental?
Se realiza un examen clínico y radiográfico evaluando el avance de la enfermedad periodontal (Periodontitis o Gingivitis). Luego de evaluar las condiciones del paciente, se realiza un plan de tratamiento adecuado para cada caso y una vez el paciente se encuentre de alta se realiza un seguimiento cada 3 meses en caso de que el paciente presente periodontitis y cada 6 meses en caso de presentar gingivitis.
En caso de realizar alguna cirugía mucogingival o de plástica periodontal para mejorar tanto estética como funcionalidad de los tejidos, los controles son mas continuos, pero todo es evaluado de manera particular con cada paciente.

¿Por qué Elegirnos para tu Tratamiento de Periodoncia?

Nos encargaremos de realizar tu tratamiento periodontal hasta lograr el control de la enfermedad y posterior alta. Luego seguiremos con un monitoreo mensual (cada 3 o 6 meses) de acuerdo al riesgo de progresión de la enfermedad y a tu diagnóstico previo.
Nuestros Expertos en Periodoncia

Dr. Eduardo Inostroza Jara, Periodoncista e Implantólogo con 14 años de experiencia profesional tanto en docencia de la Universidad San Sebastián y en clínicas privadas y 9 años de experiencia como especialista.
Preguntas frecuentes
Es una enfermedad que genera inflamación al tejido óseo y a la encía de nuestros dientes provocada por la placa bacteriana o biofilm generando movilidad y pérdida de dientes en caso de no ser tratada.
El principal signo es la inflamación de las encías y sangrado tanto al cepillado como al comer.
Lo mas importante es modificar los hábitos de higiene del paciente, logrando una adecuada técnica de cepillado y con los artículos correspondientes para ello. Luego se realizan limpiezas en los dientes llamadas destartraje y posterior a esto se realiza una técnica llamada pulido radicular que consiste en raspar y alisar las raíces eliminando el tártaro o sarro que se encuentra adherido en ellas, lo que provocó la infección y pérdida ósea.
Logrando una buena técnica de higiene por parte del paciente mas la terapia periodontal realizada por el especialista, el tiempo de recuperación no es más allá de un mes donde se puede ver reflejado los signos de salud periodontal.
No, debido a que todo el tratamiento se realiza bajo anestesia local.
Como mencionamos anteriormente, lo mas importante es manejar una correcta técnica de cepillado para evitar el acúmulo de placa bacteria o sarro y así evitar esta inflamación que afectan los tejidos de rodean al diente. Además de los controles y evaluaciones con el especialista.
Reserva Tu Cita de Periodoncia Dental Ahora
No dejes a la deriva tu salud bucodental ni tu salud a nivel sistémico y agenda tu cita dental de urgencia ahora en BiosurDental.